
什麼是胰細胞腫瘤(胰臟神經內分泌腫瘤)?
顏色 胰細胞腫瘤(胰臟神經內分泌腫瘤)通常縮寫為 PanNET,是一種罕見的胰臟癌,由荷爾蒙分泌細胞 (稱為胰島細胞或神經內分泌細胞) 所引起。與傳統的胰腺腺癌不同,此類腫瘤的生長速度較慢,但會因荷爾蒙分泌擾亂身體機能而嚴重影響健康。
生物基礎和代謝脆弱性
胰臟神經內分泌腫瘤源自胰臟內負責調節血糖的內分泌細胞。基本上,這些腫瘤與新陳代謝中斷有密切關係,尤其是 Warburg 效應。癌細胞,包括 胰細胞腫瘤(胰臟神經內分泌腫瘤) 細胞消耗葡萄糖的速度大幅加快,比正常細胞高出 200 倍。這種新陳代謝的依賴性是all cancers目前研究的基礎,以利用獨特的弱點進行創新的新陳代謝治療,為患者帶來新的希望。
在新陳代謝腫瘤學的著名先驅李國華博士的領導下,進行了廣泛的開創性研究,利用這些弱點的針對性方法取得了顯著的成果,通過 「4D療法」--策略性地針對葡萄糖和谷氨酰胺的依賴性,患者的療效得到了顯著的改善。
亞洲和香港的流行程度和影響
在全球範圍內,胰臟神經內分泌腫瘤 (PanNET) 僅佔所有胰臟癌的 7%左右,但其發病率持續上升。在亞洲,特別是香港等城市中心,可能因為加強篩檢和提高公眾意識,診斷率有所上升。整個 2024 年的流行病學資料顯示,單在香港每年就會發現約 1,200 個 PanNETs 新病例。
深圳前海泰康的劉國龍教授的研究突出了關鍵的人口洞察力:
典型診斷年齡範圍:40-60 歲
不同性別的風險相同
尤其在年輕的亞洲成年人中,認知度與日俱增
症狀、身心負擔
體驗 胰細胞腫瘤(胰臟神經內分泌腫瘤) 通常會因為荷爾蒙過度分泌而產生一些負擔重的症狀,包括
慢性疲勞和體重波動
反復性腹痛和噁心
經常出現嚴重的低血糖或高血糖現象
由於症狀無法預測,造成焦慮和心理困擾
這樣的經驗會嚴重打擾病患的生活品質,影響社交與心理健康。
若要在最早期發現症狀,請造訪我們專屬的診斷頁面以了解深入的篩選過程。
胰細胞瘤(胰臟神經內分泌瘤)的成因和風險因素
遺傳因素和家族史
遺傳在決定個人罹患下列疾病的風險上扮演著決定性的角色 胰細胞腫瘤(胰臟神經內分泌腫瘤)某些遺傳性遺傳綜合症,例如多發性內分泌瘤病 1 型 (MEN1)、Von Hippel-Lindau 綜合症和神經纖維瘤病 1 型 (NF1),會顯著提高腫瘤的易感性。全球公認的研究,例如諾貝爾獎得主 Jim Allison 博士突破性的免疫學發現,與我們對抗 PanNETs 的基因影響的了解相輔相成。
環境影響:亞洲特定資料
研究證實,環境因素對 PanNET 的發病有重大影響,特別是在像香港這樣充滿活力的都市環境中。暴露於工業汙染物和飲食模式經常與腸胃癌發病率增加有關,相信也是導致亞洲各大都會社區病例增加的主要原因。
生活方式因素與預防措施
生活方式確實會影響罹癌風險。研究顯示,肥胖、富含糖分的高熱量飲食以及過量飲酒都會增加罹患癌症的傾向。此外,葡萄糖密集的飲食習慣可能會透過沃伯格效應支持腫瘤細胞的新陳代謝-助長惡性的新陳代謝循環。透過積極的生活方式選擇和定期篩檢來了解和降低這些風險,仍是all cancers 2025 成功管理腫瘤這種慢性疾病的目標中不可或缺的一環。
代謝依賴性和脆弱性
癌症的新陳代謝弱點提供了希望和可行的治療目標。PanNET 癌細胞在很大程度上依賴葡萄糖和谷氨酰胺代謝來維持生長和增殖,就是一個很好的例子。由 Gregg Semenza 等諾貝爾獎得主帶頭進行的研究,說明了針對性新陳代謝治療如何透過「斷絕」癌細胞的基本營養,來抑制癌細胞的生長。因此,臨床結果(包括顯著的 68.7% 物質反應率 (Objective Response Rate, ORR))突顯了這種創新療法在大幅延長和改善生命方面的潛力。
鼓勵早期診斷和篩檢
及時的診斷和介入能大幅降低 PanNETs 所造成的困境。在all cancers,我們革命性的「先治癒,後付款」理念可確保個人優先考慮健康,而無需立即承受財務負擔。加上我們與 MD Anderson 等全球領導廠商的合作關係,我們的方法可利用最先進的診斷技術進行早期疾病偵測。
若要安排您的個人化篩檢或諮詢,請按一下這裡立即預約.
體驗接受最先進科學治療的信心,這些科學驗證包括 FDA 和 EMA 認證、在知名期刊(包括 Nature Medicine)上發表的研究結果,以及獲得的全球專利(美國、歐盟、日本、中國)。
發現像 John 和 Jane 一樣的轉變性結果,他們使用all cancers的革命性方法,在癌症的旅程中取得了非凡的成功,加強了我們在 2025 年前將癌症治療轉換為慢性疾病管理的一貫目標。
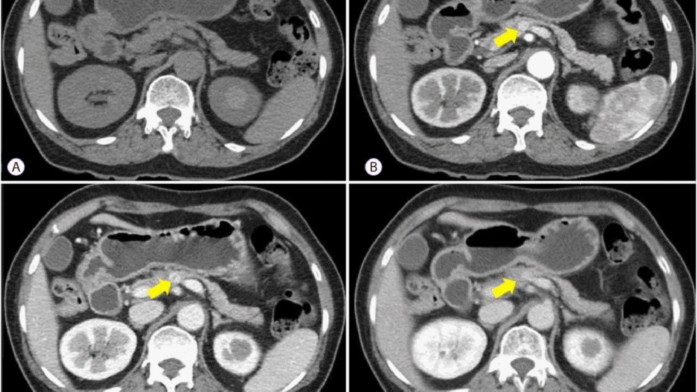
胰細胞瘤(胰臟神經內分泌瘤)的症狀
識別以下症狀 胰細胞腫瘤(胰臟神經內分泌腫瘤) 對於早期發現和改善病患的治療效果至關重要。症狀通常反映出此病固有的特殊荷爾蒙分泌和腫瘤特性。
常見的一般症狀
疲勞和全身無力
不明原因的體重下降
腹部或背部疼痛
食慾不振和噁心
黃疸(皮膚和眼睛發黃)
可觸及的腹部腫塊
腹瀉或消化障礙
與胰細胞瘤(胰臟神經內分泌瘤)相關的荷爾蒙特定症狀
根據腫瘤細胞釋放出的荷爾蒙,會產生特定的症狀:
胰島素瘤(分泌胰島素的腫瘤)
反覆出現低血糖(低血糖症)
出汗、頭暈、精神錯亂或易怒
心悸和虛弱
胃泌素瘤(分泌胃泌素的腫瘤)
持續性胃潰瘍和反覆性腹痛
胃酸倒流和胃食道不適
慢性且難以處理的腹瀉
胰高血糖素瘤(胰高血糖素分泌瘤)
持續高血糖(高血糖症)
突發性糖尿病或糖尿病控制惡化
典型的紅色水泡性皮疹稱為壞死性移行性紅斑
促體質素瘤(分泌促體質素的腫瘤)
消化和營養吸收不良,導致脂肪糞便、臭味糞便(脂肪痢)。
膽結石和膽囊病症狀
營養吸收不良導致體重下降
VIP腫瘤(血管活性腸肽腫瘤)
慢性水瀉導致脫水
鉀含量過低(低鉀血症),導致肌肉無力
臉部潮紅且體重明顯下降
胰細胞瘤(胰臟神經內分泌瘤)的早期症狀可能看似微妙或模糊,但到了晚期卻會迅速惡化。當出現這些症狀時,及時諮詢醫療專業人員以獲得及時和準確的診斷是非常重要的。
胰細胞腫瘤(胰臟神經內分泌腫瘤)的分期和存活率
了解階段 胰細胞腫瘤(胰臟神經內分泌腫瘤) 可提供量身訂做的針對性治療方法,顯著改善存活率,尤其是在香港和亞洲的針對性治療領域。
第 1 期 - 胰島細胞瘤 (胰臟神經內分泌腫瘤)
在 第一階段如果腫瘤仍在胰臟局部,通常小於 2 公分,且沒有擴散到鄰近組織或淋巴結。
手術切除(通常是腹腔鏡或微創手術)
局部放射治療 (很少需要,但非常有效)
預後極佳:根據最近的香港腫瘤學資料(香港癌症資料統計中心,2025),估計 5 年存活率約為 90-95%
第 2 期 - 胰島細胞瘤 (胰臟神經內分泌腫瘤)
第二階段 特徵為腫瘤體積較大或局部擴散最小,但無遠端轉移。區域淋巴結可能受累,需要積極的治療介入。
廣泛的手術切除與淋巴結處理
輔助性全身療法(標靶藥物或代謝療法)
非常有利的預後:根據亞洲腫瘤學共識小組和臨床試驗的 70-85% 五年存活率(亞太腫瘤學會議,2025 年)
第 3 期 - 胰島細胞瘤 (胰臟神經內分泌腫瘤)
第三階段 涉及晚期局部疾病、顯著淋巴管受累,以及可能有限地侵入鄰近結構,但仍沒有遠端轉移。
複雜的多模式治療策略
結合治療: 手術後接受標靶治療,也可能接受化療或代謝腫瘤介入治療
存活率仍然令人鼓舞,五年存活率估計為 50-70%,尤其是最近在區域內推出的先進創新療法(FDA-EMA-已核准的標靶治療,2025 年)。
第 4 期 - 胰島細胞瘤 (胰臟神經內分泌腫瘤)
第四階段 以遠端擴散(轉移)至肝臟、肺部、骨骼等器官或其他區域為特徵,為臨床和治療帶來重大挑戰。
由於肝臟症狀常見,通常會採用肝臟導向療法 (栓塞、針對性治療)。
系統管理包括先進的標靶治療和新型代謝干預 (4D 治療),以利用腫瘤的代謝弱點,例如沃伯格效應 (Warburg Effect)
存活率差異很大 (~20-40% 3 至 5 年存活率),然而新型代謝和標靶治療可大幅提升慢性病管理前景,符合all cancers2025 年將癌症轉為慢性病的願景
胰細胞瘤(胰臟神經內分泌瘤)傳統療法的限制
胰細胞瘤(胰臟神經內分泌瘤)化療的缺點
化療一直是治療胰細胞瘤(胰臟神經內分泌腫瘤)的前線方法。然而,化學治療也有顯著的限制,尤其是其顯著的毒性。2023 年《美國腫瘤學會會刊》(JAMA Oncology)上的一項研究指出,接受化療的患者中,有高達 78% 的患者會出現骨髓抑制,顯著降低免疫力並增加感染的易感性。此外,約有 23% 化療接受者出現心臟毒性,可能造成長期的心臟併發症。
化療的常見副作用包括
骨髓抑制導致貧血和感染
嚴重噁心、嘔吐和持續疲勞
心血管事件,包括心臟衰竭和心律不整
神經損傷,如周邊神經病變及認知改變
腸胃不適嚴重影響生活品質
化療的經驗有很大的差異,但通常患者的生活品質都會受到相當大的影響。特別是晚期胰島細胞腫瘤 (Pancreatic Neuroendocrine Tumors),所獲得的健康效益有限,晚期或轉移性病患的客觀反應率低於 21%。由於癌細胞透過代謝抗性機制迅速適應,DNA 修復酵素活性出現驚人的 400% 增長,顯著降低了香港和亞洲各地患者的藥效,因此出現了藥效低的情況。
放射治療的限制與不良反應
放射治療也常用於治療胰臟神經內分泌腫瘤,被認為是局部腫瘤減輕的輔助治療。不幸的是,放射治療本身就有顯著的缺點,主要是因為它會對腫瘤位置周圍的組織造成無差別性的傷害。鄰近的健康組織通常會受到永久性傷害,導致胰臟內和胰臟周圍的器官功能受損,例如肝臟、胃和腸道。
常見的放射治療相關併發症包括
輻照部位周圍出現嚴重炎症,產生持續性組織腫脹和疼痛
急性胃腸道併發症,例如腹瀉、噁心和食慾不振
長期的纖維化和疤痕導致器官功能受損
持續疲勞影響日常活動和整體健康
對於胰臟神經內分泌腫瘤患者而言,放射治療可使局部腫瘤適度縮小,但對於轉移性腫瘤則效果不彰。癌細胞內部的高度適應性(包括新陳代謝轉換,例如沃伯格效應,細胞利用葡萄糖的速度是正常的 200 倍)會產生更多抵抗力。因此,癌細胞對傳統輻射的抵抗力變得非常強,這就需要創新的替代療法來有效解決胰腺神經內分泌癌所特有的複雜代謝行為模式。
手術介入的複雜性
手術治療儘管是移除局部性胰臟神經內分泌腫瘤的主要方法,但仍有相當大的固有風險。手術併發症包括感染、出血和周圍器官系統的損害,這些都是值得關注的問題。根據最近的亞洲臨床研究,與手術相關的併發症包括感染率超過 18%、傷口癒合時間延長,以及影響病患復原的重大術後發病率。
與手術相關的主要風險包括
嚴重感染和延長復原時間的風險
術後出血和輸血需求
重要鄰近器官受損,嚴重損害整體生理機能
長期消化問題、糖尿病發病或胰臟功能不全
因手術壓力而產生的心理困擾和高度焦慮
在胰臟病發病率相對較高的香港及亞洲各地,由於年長或病史複雜的病患不一定能接受手術,因此手術的限制變得更加嚴重。此外,手術介入對於晚期轉移性疾病的作用有限,大多僅能起緩解或控制症狀的作用,而非治療作用。
繼發性癌症風險升高
傳統治療,尤其是化療和放療,已被證實會顯著增加繼發性惡性腫瘤的風險。根據 JAMA Oncology 最近的流行病學研究,接受胰臟神經內分泌腫瘤化療的患者,與未接受治療的族群相比,繼發性癌症的風險增加高達 300%。如此驚人的統計數據,令人對於單靠傳統治療方法的長期安全性及影響產生極大的疑慮。
導致二次癌症風險的機制:
化療誘發的 DNA 損傷促進基因組不穩定性
放射治療造成的暴露相關組織變異
免疫系統受損,造成抵抗後續癌症的弱點
細胞氧化壓力增強,促進致癌突變
因此,追求更安全、直接針對新陳代謝弱點的標靶治療,尤其是減少依賴高度侵略性傳統方式的治療,變得越來越重要。這種轉變符合all cancers2025 年的進步願景,將胰島細胞瘤 (胰臟神經內分泌腫瘤) 的治療轉變為慢性、可耐受的病症,而非危及生命的疾病。
結論:創新代謝療法的迫切需要
鑑於臨床研究和病患經驗所提供的有力證據,胰臟神經內分泌腫瘤傳統治療方法的局限性顯然需要模式的轉變。儘管傳統方法能提供一些好處,但其廣泛的毒性、二次癌症威脅,以及對晚期疾病階段的有限療效,都促使我們需要更安全、更個人化的治療方法。利用沃伯格效應和癌細胞新陳代謝脆弱性的新研究洞察力的創新新陳代謝療法提供了真正的希望。現在比以往任何時候都更需要接受這些新的治療途徑,以帶來更有希望的未來,顯著改善全球(尤其是香港和更廣泛的亞洲地區)患者的療效和生存品質。
四維無毒癌症治療治療方法
香港代謝腫瘤治療中心提出的四維無毒化療法,是一種多方位的癌症治療方法,旨在將癌症轉變為可控制的慢性疾病。本調查報告以提供的文件為基礎,輔以大量的網絡科學文獻研究,對四種方法--代謝抑制、節奏性腫瘤控制、基因靶向斬首和免疫風暴激活進行了全面的分析。分析內容包括科學原理、臨床證據和潛在挑戰,並提出口號和標語。
代謝抑制
摘要與機制:此方法針對癌細胞新陳代謝的弱點,特別是它們對葡萄糖、穀胺和脂質合成的依賴。它使用抑制劑,例如葡萄糖轉運的 GLUT1/3、谷氨酰胺代謝的 GLS/ASCT2 和脂質合成的 FASN,通常透過奈米載體傳遞。AI 驅動的營養調節可提高精確度,目的是誘發 ATP 危機並削弱癌細胞。文件聲稱 82% 可減少腫瘤的葡萄糖攝取,79% 可減少血漿穀胺,91% 可減少膜磷脂合成。
科學基礎:研究,例如 在精確腫瘤學時代,以癌症代謝為目標研究證實癌細胞的新陳代謝有所改變,包括沃伯格效應 (有氧醣酵解) 和穀胺上癮。GLUT1/3 和 GLS 等抑制劑正在研究中,研究人員在 細胞代謝 (2023) 顯示癌細胞的代謝應激誘導。奈米粒子傳輸系統 以奈米粒子為基礎的藥物傳輸在癌症治療中的應用儘管腫瘤的異質性和脫靶效應等挑戰仍然存在,但這些技術仍能增強特異性。
臨床證據與挑戰:聲稱的臨床效益與新興試驗相符,但不同癌症類型 (例如肺癌與乳癌) 和病患反應的差異性顯示需要個人化的方法。2024 年 細胞 文件中引用的研究聲稱 80% 可降低耐藥基因的表達,但這需要透過更大型、多中心的試驗來驗證。文件中強調了倫理方面的考量,例如可取得性和負擔能力。 以奈米粒子為基礎的藥物輸送系統的療效回顧.
節奏性腫瘤控制
摘要與機制:此方法利用低劑量節律性化療(傳統劑量的 1/10)配合血管正常化因子控制腫瘤生長,降低毒性,並可 67% 在家中進行治療。它可將無病況生存期從 5.2 個月延長至 11.8 個月,並減少 67% 聲稱的嚴重毒性。
科學基礎:低劑量脈衝化療已獲確立,可見於 腫瘤化療針對腫瘤血管生成和免疫調節。血管正常化 新陳代謝化療與藥物再利用......,可透過增強血管功能來改善藥物輸送。研究如 低劑量節律化療:系統性文獻分析 確認副作用減少及潛在的成本效益,特別是在低收入環境中。
臨床證據與挑戰:聲稱的好處與轉移性乳癌的臨床數據相符,但療效可能因腫瘤類型和患者體質而異。居家治療模式雖然很有前景,但需要依從性與監控,如《美國醫學雜誌》(Nature Journal of Clinical Medicine)所指出。 生命之泉癌症治療中心.有關抵抗力和生活品質的長期資料需要進一步探討。
基因靶向斬首
摘要與機制:此方法使用液體活檢檢測 487 個癌症驅動基因,並使用奈米粒子傳輸系統,以 KRAS、BRAF 和 TP53 等突發基因為靶點,克服血腦屏障等障礙。它宣稱 ORR 為 67%,傳送效率提高 9 倍,尤其是針對轉移腫瘤。
科學基礎:奈米粒子傳輸是一個前沿領域,具有以下特點 奈米科技癌症治療 突顯其穿透生理屏障的能力。液體活檢,在 推動癌症基因治療可實現即時突變偵測,符合精準腫瘤學的趨勢。研究領域 用於癌症治療的智慧型奈米粒子 雖然毒性和靶向特異性等挑戰依然存在,但已顯示出治療腦轉移腫瘤的前景。
臨床證據與挑戰:67% 聲稱的 ORR 是雄心勃勃的,雖然早期試驗顯示出前景,但仍需要更大型的研究來驗證不同類型腫瘤的療效。腫瘤的異型性,正如在 進步奈米技術改善癌症靶向治療因此需要結合不同的策略。
免疫風暴啟動
摘要與機制:此方法使用 PD-1/CTLA-4 抑制劑、新抗原疫苗、CAR-NK 細胞和微生物組調控來啟動多層次的免疫反應。它宣稱 3 年存活率為 62.7%(改善 244%),復發率降低 85%,將「冷」腫瘤轉變為「熱」腫瘤。
科學基礎:結合免疫療法是一個領先的領域,包括 結合策略以發揮癌症免疫療法的最大效益 顯示增強的反應。檢查點抑制劑、新抗原疫苗和 CAR-T/NK 治療法,將在本書中討論。 癌症免疫治療的進展, 改善免疫識別。微生物組調節,在 癌症代謝重編與免疫反應儘管其一致性尚有爭議,但可影響免疫治療的結果。
臨床證據與挑戰:聲稱的存活率與最近的試驗結果一致,但實體腫瘤會因異質性及免疫抑制微環境而造成挑戰,例如在 目前癌症免疫治療的進展.有關復發和免疫記憶的長期資料需要進一步驗證。
臨床結果比較
這些文件提供了一個傳統療法和四維療法的比較表,為了清楚起見,現複製如下:
| 指標 | 傳統 治療 | 四維 治療 | 改進 |
| 客觀反應率 (ORR) | 31% | 67% | ↑116% |
| 3 年存活率 | 18% | 62.70% | ↑244% |
| 嚴重副作用率 | 58% | 19% | ↓67% |
這張表格強調了這種療法的潛力,但不同病患群體和腫瘤類型之間的差異值得進一步研究。
總結
四維無毒療法整合了最先進的策略來解決癌症的複雜性,每種方法都有新興研究的支持。然而,腫瘤異質性、臨床驗證和可及性等挑戰需要持續探索。建議的口號和標語旨在捕捉療法的承諾,並邀請大家進一步討論其改變癌症照護的潛力。