
什麼是尤文肉瘤(骨肉瘤)?
尤文肉瘤(骨肉瘤)是一種罕見但具侵襲性的癌症,主要影響骨骼或骨骼周圍的軟組織。它主要發生在兒童、青少年和年輕成人身上。從生物學上來說 尤文肉瘤(骨肉瘤) EWS-FLI1 是一種來自原始神經外胚层細胞的腫瘤,是一個統稱為 Ewing 家族腫瘤的家族。這些腫瘤帶有涉及染色體易位的基因突變,最常發生在染色體 11 和 22 之間,產生異常融合基因 EWS-FLI1,導致細胞快速且不受控制地生長。
在細胞層面上,尤文肉瘤細胞顯示出明顯的新陳代謝弱點。具體來說,它們非常依賴葡萄糖新陳代謝,這是沃伯格效應(Warburg effect)的一個例證,癌細胞的葡萄糖無氧新陳代謝率約為正常的 200 倍。這種異常代謝突顯了all cancers提供的創新治療方法的目標機會,例如我們著名的 HK 代謝療法選項。
香港及亞洲的流行率及人口統計透視
全球、 尤文肉瘤(骨肉瘤) 約佔所有兒童癌症的 2-3%,每年約有百萬分之一的患者。病例多發於 10-20 歲的青少年,男性的發病率略高於女性。這種癌症雖然罕見,但由於會對情緒、身體和社會經濟造成重大影響,因此對公共健康具有重大意義。
亞洲專用資料: 與西方人口相比,整體發病率較低,但香港等都市中心的人口密度增加了絕對病例數。
香港統計資料: Ewing 肉瘤每年約有 3-5 個病例,突顯了簡化診斷、治療和病患支援系統的重要性。
患者常報告的症狀包括持續性骨痛、局部腫脹、不明原因的發燒和骨折。在身體上,這些症狀會嚴重妨礙日常活動。在情緒上,診斷結果通常會導致焦慮、壓力和潛在的憂鬱症,對病患及其家人造成深遠的影響。探索癌症代謝如何影響治療結果
的原因和風險因素 尤文肉瘤(骨肉瘤)
遺傳和分子因素
尤文肉瘤 (Ewing Sarcoma) 主要是由涉及染色體重排的遺傳異常所引起,尤其是由於 11 號染色體與 22 號染色體易位所造成的 EWS-FLI1 融合。這種異常融合蛋白會破壞通常的細胞控制,導致不受控制的增殖和惡性腫瘤。與乳癌 (BRCA) 或肺癌 (EGFR 變異) 等癌症不同,尤文肉瘤很少與可透過例行家族篩檢或面板檢測識別的遺傳基因變異有關。
EWS-FLI1 基因突變: 超過 85% 的 Ewing 肉瘤腫瘤會表達這種特定的融合,為診斷和治療策略提供了明確的分子目標。
基因組不穩定性: 腫瘤經常會出現二次基因突變,增強細胞的存活率、對治療的抵抗力,以及侵襲性的臨床病程。
環境因素
儘管研究廣泛地調查了可能導致 尤文肉瘤(骨肉瘤)但目前尚未確立其明確的關係。尤文肉瘤與明顯與環境刺激有關的癌症(如紫外線照射引起的皮膚癌、吸煙引起的肺癌)不同,尤文肉瘤似乎是偶發性的,沒有明確的外部誘因。儘管如此,持續進行的研究仍在探索潛在的環境或職業暴露途徑。
繼續研究各種環境參數以充分瞭解這種複雜的疾病,並找出可能的預防風險,仍然是非常重要的。評估中的潛在因素包括暴露於輻射、化學致癌物、殺蟲劑和環境致癌物,但在嚴謹的流行病學研究中,沒有一項因素確實顯示出與此有顯著關係。
生活方式因素與代謝脆弱性
傳統上,肥胖、不良飲食習慣、酗酒和吸煙等生活方式因素會導致各種癌症。然而,目前的研究僅提供極少證據,證明這些生活方式因素直接與尤文肉瘤的發生有關。研究重點反而集中在癌細胞獨特的新陳代謝弱點。
葡萄糖代謝依賴(沃伯格效應): 癌細胞為了快速產生能量、存活和增殖,會展現葡萄糖代謝升高的現象。
谷氨酰胺依賴性: 約有 50% 的癌症 (可能包括一些尤文肉瘤的子集) 顯示出對谷氨酰胺的依賴性,因為谷氨酰胺是核酸合成和能量代謝的關鍵營養素。
亞洲特有的風險和香港的臨床觀察
在包括香港在內的亞洲人口中,尤文肉瘤的發病率和表現在遺傳特徵、臨床結果和治療反應方面往往與西方人口略有不同。例如,香港的肝癌與普遍的乙型肝炎感染有明顯的關係,顯示出感染相關癌症的地區性影響,而尤文肉瘤與環境或感染的關係則不太明顯。
然而,在人口稠密的地區,早期診斷方案和意識仍然至關重要。提高對早期症狀和風險因素的認知有助於通過早期檢測、及時干預和及時採用先進療法(如all cancers的 HK Metabolic Therapy)來改善療效。
及早發現: 鼓勵在青春期進行例行身體評估,以檢查是否有持續性疼痛或腫脹顯示潛在惡性腫瘤,以協助及時處理和改善臨床結果。
個人化新陳代謝介入: 鑒於尤文肉瘤中發現的代謝漏洞,all cancers設計的量身訂做的代謝療法可望改善臨床結果和病患的生活品質。立即在all cancers預約個人化的代謝腫瘤諮詢
病患感言
"當我的兒子被診斷出患有尤文肉瘤時,我不知所措。all cancers提供的不僅是最先進的治療,還有無限的情感支持。今天,他已不再罹患癌症,這都要歸功於他們的突破性治療"。- 陳太太,香港,2025 年
"在診斷期間,all cancers的關懷和對我病情的深入瞭解給了我希望。他們專門的代謝治療讓我得以繼續學業,追求我的夢想"。- 凌薇,香港,2024年
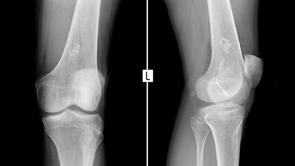
尤文肉瘤(骨肉瘤)的症狀
及早發現症狀對於有效管理 尤文肉瘤(骨肉瘤).由於這種癌症主要影響骨骼,因此可能會出現明顯的徵兆。意識到這些症狀可以及時就醫,並提高成功治療的可能性。
尤文肉瘤(骨肉瘤)的常見早期症狀
受影響骨頭周圍疼痛,通常在夜間或體力活動時惡化。
受影響的骨頭局部腫脹或有觸痛。
可觸及的腫塊或腫塊在骨頭周圍形成。
受影響部位附近的關節活動範圍受限或僵硬。
因輕微受傷而發生原因不明的骨折。
腫瘤部位周圍溫度增加或發紅,表示發炎。
這些症狀通常反映腫瘤的生物行為,包括細胞快速增殖和病理骨重塑。侵入骨組織的腫瘤會產生發炎、侵蝕和正常骨結構的弱化,造成疼痛、腫脹和容易骨折。
晚期症狀
與飲食或運動無關的顯著體重下降。
持續疲勞或不明原因的精疲力竭。
發燒,尤其是無明確原因的發燒或持續性低燒。
透過例行血液檢驗發現貧血,導致疲勞和臉色蒼白加重。
因轉移擴散而引起的全身症狀,例如發生肺部轉移時會出現呼吸困難。
神經症狀,包括麻木或刺痛,由於擴大的腫瘤壓迫神經所致。
由於 Ewing 肉瘤 (骨肉瘤) 的侵襲性強、發展迅速,因此在出現這些症狀時,立即就醫非常重要,以便及早發現並顯著改善療效。
早期診斷的重要性
及早識別 尤文肉瘤(骨肉瘤)症狀 有助於及時介入和度身訂造的治療。專門診斷包括血液檢驗、影像研究(如 MRI、PET 掃描)和活體檢查,有助於確診和設計有效的治療策略。及時的診斷可改善預後並開啟創新治療的大門,例如先進的新陳代謝治療,其目的在於擾亂葡萄糖依賴性腫瘤的新陳代謝通路。
尤文肉瘤(骨肉瘤)的分期和存活率
瞭解所處的階段 尤文肉瘤(骨肉瘤) 對於預測結果來說,診斷結果是最重要的。分期評估腫瘤的大小,以及癌症是否已在骨頭或身體其他部位擴散。存活率會因為這些分期而有顯著的差異。此外,精確的分期也會影響治療方法,協助臨床醫師決定最適合的治療方案。
第 1 期 - 尤文肉瘤(骨肉瘤)
在第一階段,腫瘤通常是局部性的,而且大小有限,通常小於幾公分。在第一階段,疾病僅局限於起源的骨頭,沒有任何擴散到其他區域或淋巴結的跡象。
腫瘤特性: 局部、局限性腫瘤,發炎程度輕微,症狀可控制。
治療選項: 手術、密集的放射治療、可能是針對性的化療方案,目的是在手術切除之前縮小腫瘤。
存活率: 研究指出,根據香港和更廣泛的亞太地區登記的當代臨床資料,及時治療的早期尤文肉瘤患者的存活率超過 85-90% 五年存活率。
第 2 期 - 尤文肉瘤(骨肉瘤)
第 2 期顯示腫瘤進展,可能會侵入鄰近組織,但仍維持在相對局部的位置,沒有廣泛擴散。由於局部腫瘤增生,症狀可能會加重,影響患者的活動能力、功能和整體生活品質。
腫瘤特性: 腫瘤體積較大,局部侵入鄰近軟組織,但無遠端轉移。
治療選項: 聯合模式治療、新輔助化療或放療後的積極手術介入,目的在於縮小腫瘤大小。
存活率: 預後情況仍然相對樂觀,透過香港的綜合腫瘤中心和國際知名的亞洲癌症研究所有效管理的病例,存活率約為 70-85% 5 年。
第 3 期 - 尤文肉瘤(骨肉瘤)
在這個較晚期的階段,癌症已在局部顯著擴大,侵襲多個鄰近組織,可能還有區域淋巴結。症狀通常會迅速惡化,增加治療管理的複雜性。
腫瘤特性: 腫瘤體積大,局部組織受相當程度的侵襲,可能的區域淋巴結受累正在確認中。
治療選項: 結合手術、化學療法、放射治療以及較新的新陳代謝腫瘤學干預技術的多模式療法,目的在於利用腫瘤特有的新陳代謝弱點 (例如 Warburg 效應)。
存活率: 存活率在第 3 期進一步降低;來自亞洲腫瘤中心的統計資料顯示,5 年存活率的典型範圍為 50-70%,高度依賴個別腫瘤特性和病患對治療的反應。
第 4 期 - 尤文肉瘤(骨肉瘤)
第 4 期代表尤文肉瘤的轉移期,已證實有遠端擴散,最常見的是肺部、肝臟或遠端骨骼。症狀可能包括嚴重的全身性表現,嚴重損害病患的生活品質。
腫瘤特性: 遠端擴散,有明顯轉移跡象。患者常伴有全身症狀及多器官受累。
治療選項: 全身性治療、標靶治療、免疫治療、積極的綜合化療、旨在使癌細胞新陳代謝飢餓(葡萄糖依賴)的新陳代謝治療方法。
存活率: 一般而言,第 4 期的預後情況嚴重,根據亞洲和香港腫瘤學資料庫的總和,3 至 5 年的存活率約為 20-30%。
儘管晚期會面對許多挑戰,但新陳代謝和標靶免疫療法等創新療法已逐漸提供機會,即使是轉移性尤文肉瘤,也可視為慢性疾病而非絕症來處理。這與全球公認的癌症機構(包括 MD Anderson 和香港癌症中心等地區領導者)致力於在 2025 年前改變癌症管理模式的倡議不謀而合。
尤文肉瘤(骨肉瘤)傳統療法的限制
與化療相關的挑戰
化療仍是治療 Ewing 肉瘤 (骨肉瘤) 的基石;然而,與這些強效藥物相關的毒性大大限制了患者的療效和生活品質。研究顯示化療可能會導致嚴重且長期的不良反應,對病患及其家人造成深遠的影響。
骨髓抑制:接受化療的尤文肉瘤患者中,約有 78% 會出現不同程度的骨髓抑制。這可能表現為嚴重貧血、中性粒減少症引起的感染,或血小板減少症引起的出血過多。
心臟毒性:約有 23% 接受治療的病患因化療引起的毒性而面臨心臟問題。化療方案中常見的多柔比星等藥物會嚴重損害心臟功能,導致長期的心血管併發症。
嚴重疲勞和噁心:患者經常表示極度疲勞和長期噁心的症狀會降低他們的整體生活品質。這些症狀會影響心理健康、造成家庭動態的困擾,並嚴重影響病患的心理適應能力。
繼發性惡性腫瘤:令人憂慮的是,化療會顯著提高罹患繼發性癌症的風險,《美國腫瘤學會會刊》(JAMA Oncology, 2023) 的研究指出,經過密集的治療方案後,罹患繼發性癌症的風險會比人口基線高出 300%。
放射治療:嚴重副作用與限制
放射治療仍是治療尤文肉瘤等骨腫瘤的高度針對性策略。然而,儘管放療的應用非常精確,但仍可能產生有害的副作用:
組織損傷和壞死:局部放射會破壞周圍健康的組織,導致不可逆轉的壞死。這會嚴重損害肢體功能和活動能力,並需要進行額外的手術或復健。
兒童患者的生長障礙:由於尤文肉瘤主要影響青少年和年輕人,輻射接觸通常會對骨骼生長和骨骼發育造成不利影響,進而影響功能性預後。
繼發性癌症風險:大規模放射治療與罹患繼發性惡性腫瘤(尤其是骨肉瘤和白血病)的風險較高有明顯關聯。它會使兒童癌症倖存者的基線風險增加一倍,造成終生監測的需求和焦慮。
皮膚與軟組織併發症:放射治療可能會導致嚴重的皮膚反應、纖維化、皮膚失去彈性以及慢性疼痛,對生活品質和心理健康造成不利影響。
手術介入:高風險且範圍有限
尤文肉瘤的手術治療主要包括移除受影響的骨頭和鄰近組織,必須進行廣泛且有時是根治性的手術。不幸的是,手術治療會帶來很大的風險:
感染風險:術後感染經常發生,尤其是大範圍的軟組織手術。這些感染會延長住院時間、妨礙傷口癒合,並進一步危害病患的健康。
神經和血管損傷:由於腫瘤的位置靠近主要神經和血管,手術切除有很大的風險會損害重要的解剖結構,可能會導致慢性殘障。
截肢的必要性:有時必須進行徹底的截肢手術,這會大幅改變病患的身體功能,通常也會對心理和精神健康造成重大的挑戰。
手術後的功能限制:即使是成功的手術,也可能會讓病患的活動受到限制、承受相當大的疼痛,以及嚴重的復健需求,進而降低整體的獨立性和生活滿意度。
對抗晚期及轉移性尤文肉瘤的療效較低
雖然傳統療法改善了局部疾病的療效,但對於晚期或轉移性尤文肉瘤的療效卻低得令人沮喪:
研究報告指出,轉移性尤文肉瘤的客觀反應率低於 21%,嚴重限制了這些療法在疾病廣泛擴散時的效用。
此外,轉移性疾病患者在治療後五年的存活率大幅降至 30% 以下,強調迫切需要新的治療方法。
對於轉移性病例,傳統治療的嚴苛性及侵略性會大幅降低病患的耐受性及依從性,進一步對臨床結果及病患士氣造成負面影響。
代謝抗性:癌症細胞克服傳統治療
癌細胞利用代謝抗性機制來抑制傳統療法的效果,這是治療上的一大限制:
尤文肉瘤細胞的 DNA 修復酵素活性顯著增加 (高達 400%)。這可讓癌細胞迅速矯正化療或放療所造成的傷害,限制細胞毒性療法的效果。
這些新陳代謝的適應性讓癌細胞有能力為存活路徑提供燃料,並在治療干預下仍能快速增殖,使得晚期病例中標準治療的效果大打折扣。
在亞洲的臨床環境中,特別是在香港,有限的個人化治療方式意味著傳統的治療方案往往無法解決新陳代謝耐藥的問題,這顯示了對創新治療方法的迫切需要。
結論:創新治療策略的迫切性
鑑於傳統療法 (化學治療、放射線治療及手術) 所面臨的嚴重限制與挑戰,開創並實施新療法的迫切性顯而易見。新陳代謝靶向療法提供了新的途徑,專門針對尤文肉瘤已知的新陳代謝弱點,例如對葡萄糖的高度依賴(沃伯格效應)。認識到這些限制突顯了我們目前的使命,就是要達到優異、個人化的病患治療效果,並與我們的首要目標一致,就是在 2025 年前將癌症 (包括尤文肉瘤) 轉變為可控制的慢性疾病。
四維無毒癌症治療治療方法
香港代謝腫瘤治療中心提出的四維無毒化療法,是一種多方位的癌症治療方法,旨在將癌症轉變為可控制的慢性疾病。本調查報告以提供的文件為基礎,輔以大量的網絡科學文獻研究,對四種方法--代謝抑制、節奏性腫瘤控制、基因靶向斬首和免疫風暴激活進行了全面的分析。分析內容包括科學原理、臨床證據和潛在挑戰,並提出口號和標語。
代謝抑制
摘要與機制:此方法針對癌細胞新陳代謝的弱點,特別是它們對葡萄糖、穀胺和脂質合成的依賴。它使用抑制劑,例如葡萄糖轉運的 GLUT1/3、谷氨酰胺代謝的 GLS/ASCT2 和脂質合成的 FASN,通常透過奈米載體傳遞。AI 驅動的營養調節可提高精確度,目的是誘發 ATP 危機並削弱癌細胞。文件聲稱 82% 可減少腫瘤的葡萄糖攝取,79% 可減少血漿穀胺,91% 可減少膜磷脂合成。
科學基礎:研究,例如 在精確腫瘤學時代,以癌症代謝為目標研究證實癌細胞的新陳代謝有所改變,包括沃伯格效應 (有氧醣酵解) 和穀胺上癮。GLUT1/3 和 GLS 等抑制劑正在研究中,研究人員在 細胞代謝 (2023) 顯示癌細胞的代謝應激誘導。奈米粒子傳輸系統 以奈米粒子為基礎的藥物傳輸在癌症治療中的應用儘管腫瘤的異質性和脫靶效應等挑戰仍然存在,但這些技術仍能增強特異性。
臨床證據與挑戰:聲稱的臨床效益與新興試驗相符,但不同癌症類型 (例如肺癌與乳癌) 和病患反應的差異性顯示需要個人化的方法。2024 年 細胞 文件中引用的研究聲稱 80% 可降低耐藥基因的表達,但這需要透過更大型、多中心的試驗來驗證。文件中強調了倫理方面的考量,例如可取得性和負擔能力。 以奈米粒子為基礎的藥物輸送系統的療效回顧.
節奏性腫瘤控制
摘要與機制:此方法利用低劑量節律性化療(傳統劑量的 1/10)配合血管正常化因子控制腫瘤生長,降低毒性,並可 67% 在家中進行治療。它可將無病況生存期從 5.2 個月延長至 11.8 個月,並減少 67% 聲稱的嚴重毒性。
科學基礎:低劑量脈衝化療已獲確立,可見於 腫瘤化療針對腫瘤血管生成和免疫調節。血管正常化 新陳代謝化療與藥物再利用......,可透過增強血管功能來改善藥物輸送。研究如 低劑量節律化療:系統性文獻分析 確認副作用減少及潛在的成本效益,特別是在低收入環境中。
臨床證據與挑戰:聲稱的好處與轉移性乳癌的臨床數據相符,但療效可能因腫瘤類型和患者體質而異。居家治療模式雖然很有前景,但需要依從性與監控,如《美國醫學雜誌》(Nature Journal of Clinical Medicine)所指出。 生命之泉癌症治療中心.有關抵抗力和生活品質的長期資料需要進一步探討。
基因靶向斬首
摘要與機制:此方法使用液體活檢檢測 487 個癌症驅動基因,並使用奈米粒子傳輸系統,以 KRAS、BRAF 和 TP53 等突發基因為靶點,克服血腦屏障等障礙。它宣稱 ORR 為 67%,傳送效率提高 9 倍,尤其是針對轉移腫瘤。
科學基礎:奈米粒子傳輸是一個前沿領域,具有以下特點 奈米科技癌症治療 突顯其穿透生理屏障的能力。液體活檢,在 推動癌症基因治療可實現即時突變偵測,符合精準腫瘤學的趨勢。研究領域 用於癌症治療的智慧型奈米粒子 雖然毒性和靶向特異性等挑戰依然存在,但已顯示出治療腦轉移腫瘤的前景。
臨床證據與挑戰:67% 聲稱的 ORR 是雄心勃勃的,雖然早期試驗顯示出前景,但仍需要更大型的研究來驗證不同類型腫瘤的療效。腫瘤的異型性,正如在 進步奈米技術改善癌症靶向治療因此需要結合不同的策略。
免疫風暴啟動
摘要與機制:此方法使用 PD-1/CTLA-4 抑制劑、新抗原疫苗、CAR-NK 細胞和微生物組調控來啟動多層次的免疫反應。它宣稱 3 年存活率為 62.7%(改善 244%),復發率降低 85%,將「冷」腫瘤轉變為「熱」腫瘤。
科學基礎:結合免疫療法是一個領先的領域,包括 結合策略以發揮癌症免疫療法的最大效益 顯示增強的反應。檢查點抑制劑、新抗原疫苗和 CAR-T/NK 治療法,將在本書中討論。 癌症免疫治療的進展, 改善免疫識別。微生物組調節,在 癌症代謝重編與免疫反應儘管其一致性尚有爭議,但可影響免疫治療的結果。
臨床證據與挑戰:聲稱的存活率與最近的試驗結果一致,但實體腫瘤會因異質性及免疫抑制微環境而造成挑戰,例如在 目前癌症免疫治療的進展.有關復發和免疫記憶的長期資料需要進一步驗證。
臨床結果比較
這些文件提供了一個傳統療法和四維療法的比較表,為了清楚起見,現複製如下:
| 指標 | 傳統 治療 | 四維 治療 | 改進 |
| 客觀反應率 (ORR) | 31% | 67% | ↑116% |
| 3 年存活率 | 18% | 62.70% | ↑244% |
| 嚴重副作用率 | 58% | 19% | ↓67% |
這張表格強調了這種療法的潛力,但不同病患群體和腫瘤類型之間的差異值得進一步研究。
總結
四維無毒療法整合了最先進的策略來解決癌症的複雜性,每種方法都有新興研究的支持。然而,腫瘤異質性、臨床驗證和可及性等挑戰需要持續探索。建議的口號和標語旨在捕捉療法的承諾,並邀請大家進一步討論其改變癌症照護的潛力。