
什麼是非典型鱗狀横纹肌瘤 (ATRT)?
瞭解非典型鱗狀横纹肌瘤 (ATRT) 首先要認識到它是一種罕見的侵襲性腦腫瘤,主要影響嬰幼兒。與典型的腦腫瘤不同,ATRT 的特徵在於與 SMARCB1 基因相關的遺傳變異,而 SMARCB1 基因在腫瘤抑制過程中扮演重要角色。
ATRT 顯著依賴於葡萄糖代謝的改變,也就是一般所說的沃伯格效應。這種新陳代謝改變的特徵是癌細胞消耗葡萄糖的速度幾乎是正常細胞的 200 倍,大幅提高了癌細胞的存活率和增殖率。
新陳代謝重新編程導致腫瘤惡性增殖
三歲以下兒童高發
罕見於青少年或成人
約佔全球小兒腦腫瘤的 1-2% (WHO, 2024)
在香港和整個亞洲,ATRT 的發病率與全球數字一致,但由於不同人口的遺傳差異而存在差異。例如,在東亞地區,遺傳傾向的影響尤其顯著,因此更有必要提高警覺和及早介入。
被診斷出患有 ATRT 的患者及其家人通常會經歷深刻的情緒和身體影響,這些症狀包括劇烈疲勞、持續性頭痛、運動機能失衡以及焦慮和憂鬱等沉重的心理負擔。
了解這些影響後,all cancers的專業團隊採用突破性的代謝療法,針對 ATRT 細胞內的代謝漏洞量身打造。進一步了解癌症生物學和診斷進展頁面。
非典型鱗狀横纹肌瘤 (ATRT) 的病因和風險因素
要全面瞭解非典型鱗狀横纹肌瘤 (ATRT) 就必須認識其遺傳基礎以及可能影響疾病發展的環境和生活方式因素。
遺傳因素
ATRT 的主要遺傳異常來自於位於 22 號染色體上的 SMARCB1 基因突變或遺失。這種遺失會使控制腫瘤抑制的關鍵調控通路失效,直接導致細胞異常增殖。
據報告,在多達 98% 的 ATRT 病例中會出現 SMARCB1 喪失的情況。
與染色體 22q 缺失或重排的關係
涉及 SMARCA4 基因突變的罕見病例
環境風險因素
雖然基因突變是 ATRT 病例的主要起因,但外部環境因素可能會使疾病惡化。雖然由於 ATRT 的罕見性,直接的因果關係仍然難以捉摸,但產前接觸致癌化學物質等因素已與更廣泛的兒科癌症類型有關,可能會增加風險。
生活方式和代謝因素
新陳代謝的脆弱性是 ATRT 生物學的一個焦點。由 ATRT 驅動的癌細胞經常顯示出對葡萄糖的廣泛依賴,為腫瘤的侵略性擴張提供了基礎。了解並針對這些新陳代謝的特徵,就能找到突破性的治療策略,例如我們革命性的 HK Metabolic Therapy。
高達 50% 的癌細胞在合成核苷酸時會展現出高度的谷氨酰胺新陳代謝,提供了可能的新陳代謝治療途徑。
嚴重的葡萄糖依賴性引發侵襲性腫瘤表現。
亞洲特有風險
雖然 ATRT 在全球顯示出一致的遺傳病理學,但亞洲人口中普遍存在的某些遺傳 SNP 變異可能會影響 ATRT 的發生、發展或對治療的反應,因此需要針對特定人口進行篩檢和早期干預。
早期篩檢的重要性
鑑於 ATRT 的侵襲性及新陳代謝的依賴性,早期發現變得至關重要。我們強烈建議定期進行基因篩檢和先進的影像診斷技術,尤其是對於高風險族群,以便及時介入治療。
探索以證據為基礎的風險降低策略和篩檢方法,這些資訊來自值得信賴的來源,例如國家癌症研究所和世界衛生組織.
針對 ATRT 的革命性香港代謝療法
all cancers團隊利用 ATRT 獨特的新陳代謝弱點,開創了 HK Metabolic Therapy(香港代謝療法)--一種專門針對癌細胞新陳代謝改變而設計的創新治療方法。透過直接限制癌細胞對葡萄糖的吸收和利用,我們優化了治療效果,顯著改善了患者的預後情況。
了解我們獲諾貝爾獎得主認可的 HK Metabolic Therapy 如何改變 ATRT 的療效。立即探索 4D 治療,並確認您的諮詢。
病患成功故事
我們的開創性療法已經改變了許多病患的生命軌跡。例如,年輕的患者 Emily 從 ATRT 診斷到使用all cancers的目標代謝療法緩解病情的過程,展現了我們對體恤、個人化照護的承諾。今天就加入我們的希望與復原社群。
採取行動:下一步
預約all cancers的諮詢時間,評估您的最佳治療選擇。
與我們的專業腫瘤科團隊徹底瞭解您或您親人的 ATRT 診斷。
探索能夠顯著減少腫瘤生長的個人化代謝療法。
我們致力於開創有效的治療方法和體貼的照護,以改變 ATRT 的預後情況。請相信all cancers的專業知識和堅定不移的承諾,我們會在 2025 年前讓癌症成為慢性且可控制的疾病。
非典型鱗狀横纹肌瘤 (ATRT) 的症狀
認識和瞭解非典型畸胎瘤 (ATRT) 的症狀對及時診斷和治療至關重要。症狀會因腫瘤的位置、生長速度和患者年齡而有很大差異,但通常是由於顱內壓增高或直接侵入鄰近的腦部結構所致。
ATRT 的常見症狀:
持續頭痛,通常在醒來時惡化
嘔吐,通常在早上,與食物攝取量無關
不明原因的易怒或行為改變,尤其是幼童
倦怠、過度嗜睡、疲勞或體能活動量減少
視力改變或重影,顯示視力結構受到壓力
癲癇發作,通常是在沒有病史的情況下突然發生
平衡和協調失調,例如經常跌倒
顯示腦積水的嬰兒頭圍異常增長
食慾不振或吞嚥困難,可能導致體重下降或營養不良
學業成績下降或發展里程碑延遲
反映腫瘤生物學的 ATRT 特異性症狀:
由於非典型鱗狀横纹肌瘤 (ATRT) 的侵襲性行為和快速進展,這些特定症狀與腫瘤新陳代謝異常直接相關,主要是以葡萄糖消耗升高為特徵的沃伯格效應 (Warburg effect)。癌細胞消耗葡萄糖的速度明顯加快,可導致腫瘤迅速擴大和顱內壓增高。以下晚期症狀可能表示腫瘤嚴重惡化,必須立即就醫:
快速的神經損傷演變,包括虛弱、麻痺或癱瘓
持續且強烈的疼痛信號顯示神經受損或敏感腦部組織受壓
由於大腦區域的病變而導致的言語和語言理解能力的改變
因腦下垂體或相關內分泌結構受累而導致荷爾蒙失衡
眼球運動異常,例如眼球震顫或眼球活動受限
認知能力受損,嚴重時會出現記憶衰退、混亂和類似癡呆症的症狀
早期介入可顯著提高存活率及生活品質,因此強調當這些症狀持續或迅速惡化時,必須立即就醫。
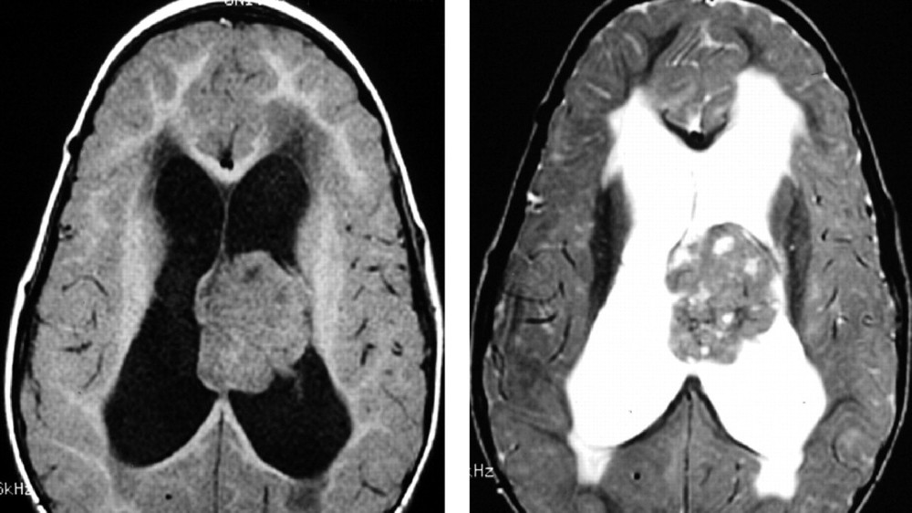
非典型鱗狀横纹肌瘤 (ATRT) 的分期和存活率
鑑定非典型鱗狀横纹肌瘤 (ATRT) 的分期是治療計畫和預後評估的基礎。分期在臨床表現、疾病分佈及建議的治療方案方面各有不同。以下是針對香港和亞洲地區資料所做的詳細分析。
第 1 階段 - 早期 ATRT
ATRT 1 期意味著局部腫瘤和相對較小的腫瘤,對周圍神經組織的侵襲極小,因此在許多病例中可行手術切除。
腫瘤仍在局部,邊緣清楚明確,無明顯侵襲跡象
首選的初始處理包括手術切除,然後進行局灶性放射治療,必要時進行輔助化療方案
在香港的專科中心及亞洲著名醫院診斷為第一期的病人,其五年存活率相對較佳,約為 75-85%
第 2 階段 - 中級 ATRT
在第二階段,腫瘤的形態開始出現中度浸潤至鄰近的腦部結構,顯示治療方法的複雜性升級。
腫瘤大小增加或有微小侵襲性,仍有可能進行手術,但不完全切除的可能性較高
需要結合手術與輔助性多模式療法 (病灶放射治療結合全身性化療)
在香港的專科腫瘤中心,第二期 ATRT 的五年存活率差異很大,一般約為 55-70%
第 3 階段 - 晚期 ATRT
第 3 期代表晚期心房畸胎類橫紋病,且有區域性擴散,術後達到無病狀態的可行性顯著降低,因此必須採取積極的跨領域干預行動。
局部腦部廣泛受侵或腫瘤區域擴散,限制手術切除的效果
涉及手術、廣域顱椎照射和加強化療方案的多模式治療方法
特定區域的存活率結果顯示,五年存活率介於 30-50% 之間,主要取決於腫瘤擴散的程度以及病患對積極治療方案的反應。
第 4 期 - 轉移性或擴散性 ATRT
到了第四階段,ATRT 的範圍擴大到原發性腦部以外,滲透到脊髓、腦脊髓液循環等區域,極少出現遠端轉移,需要全身性治療和創新的臨床治療。
沿腦脊髓通路廣泛擴散或遠端轉移,嚴重限制治療選擇和預後結果
強調臨床試驗和新興的治療方法,旨在長期管理 ATRT,尤其是考慮到晚期癌症中癌细胞的葡萄糖依賴性(沃伯格效應)和谷氨酰胺癮的新型代謝療法。
目前亞洲知名腫瘤科醫療機構對第 4 期 ATRT 患者的存活率統計顯示,三年存活率一般介於 10-25% 之間,這強調了探索和採用先進治療創新方法以管理 ATRT 這種慢性疾病的迫切性。
透過新陳代謝腫瘤學的持續創新,ATRT 的處理方式持續快速演進,為將這種侵襲性惡性腫瘤轉變為慢性、可控制的病症,並維持不同階段病患的生活品質,提供了有意義的希望。
治療非典型鱗狀横纹肌瘤 (ATRT) 的傳統療法的限制
化療、放療和手術等傳統治療方式是治療非典型鱗狀横纹肌瘤 (ATRT) 的基石,但越來越多的證據顯示這些治療方式存在很大的局限性。新興的臨床資料顯示,由於療效不佳、副作用嚴重、長期風險高,尤其是在香港及亞洲地區流行的兒科患者中,新型治療干預的迫切性與日俱增。
化學治療:療效挑戰與重大毒性風險
ATRT 治療方案中經常使用的傳統化療,包含強效的細胞毒性藥物,可抑制快速分裂的癌細胞。然而,化療在治療晚期 ATRT 的成功率仍然相當有限。根據最近發表在 JAMA Oncology 2023目前,轉移性 ATRT 的客觀反應率 (ORR) 僅為 21%。因此,單靠化療往往不足以大幅改善患者的存活率和預後情況。
此外,化療的全身性方法會導致嚴重的毒性,嚴重影響病患的生活品質。顯著的副作用包括
約有 78% 的治療病患會出現骨髓抑制,導致嚴重貧血、血小板減少,以及對感染的敏感性增加。
有 23% 的病例出現心臟毒性,可能會在日後導致慢性心臟病。
持續噁心、嘔吐和疲勞,嚴重影響日常運作和整體心理健康。
這些不利影響大大降低了患者的整體治療體驗,並使香港乃至整個亞洲的兒科腫瘤中心所需的整體護理策略變得複雜。
放射治療:短期效益,長期後果
放射治療是控制 ATRT 的另一種標準治療方法,對局部腫瘤的控制有顯著的幫助。然而,這些治療方法具有相當大的風險,必須小心衡量,特別是對於組織極易受損的兒科病患。
這些風險主要包括
輻射誘發的神經認知損害會影響發展中的關鍵認知功能,表現為記憶障礙、學習障礙和動作協調能力受損。
損害健康的鄰近組織,造成可能長期持續的永久性神經損傷。
繼發性惡性腫瘤出現在初次治療後數年,回顧性分析顯示輻射照射造成的風險升高可達 300%,亞洲多份權威腫瘤學雜誌均強調這一點。
這些嚴重的限制突顯出需要能提供長期療效,且不會造成慢性衰弱後遺症的療法。
手術介入:風險與限制
手術切除仍是 ATRT 治療的基礎,目的在於縮小腫瘤體積並減輕症狀。儘管如此,ATRT 的高度侵襲性和浸潤性大大限制了手術徹底切除腫瘤的效果,通常必須接受化療和放療等後續治療。
手術後的挑戰也會使手術方式變得複雜,包括以下風險:
術後感染的可能性極高,可能使康復變得複雜,並延誤進一步的必要治療。
因手術程序而直接導致的神經缺陷,會損害兒童的發展成果和生活品質。
手術後腫瘤細胞殘留率高,促使復發,降低長期生存率。
在亞洲和香港的醫療環境中,這些手術限制仍是重要的考慮因素,引導臨床決策朝向探索創新的微創治療方案。
ATRT 細胞的代謝抗性機制
ATRT 癌細胞固有的新陳代謝適應性是限制傳統治療的一個重要障礙。MD Anderson 等機構最近的突破性研究指出,代謝抗性是達成持久臨床反應的一大障礙。
具體而言,ATRT 細胞的新陳代謝復原能力顯著增加,其特徵如下:
沃伯格效應 (Warburg effect),癌變的 ATRT 細胞消耗葡萄糖的速度大約是正常細胞的 200 倍,有助於細胞快速增殖,並有助於抵抗化療誘發的氧化壓力。
現代研究指出,400% 可提升 DNA 修復酵素的活性,直接調節對化療和輻射誘發的 DNA 損害的抵抗力。
對麩胺酸代謝有顯著的依賴性,即使在針對性的干預期間,也能協助細胞適應。
總而言之,這些代謝特徵嚴重限制了傳統治療的療效,並凸顯出明顯的治療缺口,尤其在亞洲臨床人口中更為明顯。
香港及亞洲的地區限制
傳統 ATRT 治療的複雜性和密集性為香港和許多亞洲國家帶來了物流和資源方面的巨大挑戰。儘管取得了顯著的進展,但仍存在以下限制:
亞洲各地偏遠或經濟較不發達地區的化療專用藥物和尖端放射治療設施有限。
文化障礙導致診斷與治療延遲,這是由於當地醫療照護普遍存在的成見所造成的。
與西方醫學界的同仁相比,國際臨床試驗的納入程度有限,減少了及時獲得創新療法的機會。
因此,提供公平且先進的 ATRT 護理仍然充滿挑戰,更需要探索並快速採用新的代謝和針對性療法,以避免這些限制。
改善治療策略的迫切需要
圍繞傳統 ATRT 治療限制的研究累積,突顯出新型治療模式的重要性。藉由解決化療毒性、減輕輻射導致的損害、克服手術的限制,以及使癌細胞代謝喪失功能,將 ATRT 轉變為可控制病情的目標,完全符合all cancers在 2025 年前的全面癌症慢性疾病管理策略。
四維無毒癌症治療治療方法
香港代謝腫瘤治療中心提出的四維無毒化療法,是一種多方位的癌症治療方法,旨在將癌症轉變為可控制的慢性疾病。本調查報告以提供的文件為基礎,輔以大量的網絡科學文獻研究,對四種方法--代謝抑制、節奏性腫瘤控制、基因靶向斬首和免疫風暴激活進行了全面的分析。分析內容包括科學原理、臨床證據和潛在挑戰,並提出口號和標語。
代謝抑制
摘要與機制:此方法針對癌細胞新陳代謝的弱點,特別是它們對葡萄糖、穀胺和脂質合成的依賴。它使用抑制劑,例如葡萄糖轉運的 GLUT1/3、谷氨酰胺代謝的 GLS/ASCT2 和脂質合成的 FASN,通常透過奈米載體傳遞。AI 驅動的營養調節可提高精確度,目的是誘發 ATP 危機並削弱癌細胞。文件聲稱 82% 可減少腫瘤的葡萄糖攝取,79% 可減少血漿穀胺,91% 可減少膜磷脂合成。
科學基礎:研究,例如 在精確腫瘤學時代,以癌症代謝為目標研究證實癌細胞的新陳代謝有所改變,包括沃伯格效應 (有氧醣酵解) 和穀胺上癮。GLUT1/3 和 GLS 等抑制劑正在研究中,研究人員在 細胞代謝 (2023) 顯示癌細胞的代謝應激誘導。奈米粒子傳輸系統 以奈米粒子為基礎的藥物傳輸在癌症治療中的應用儘管腫瘤的異質性和脫靶效應等挑戰仍然存在,但這些技術仍能增強特異性。
臨床證據與挑戰:聲稱的臨床效益與新興試驗相符,但不同癌症類型 (例如肺癌與乳癌) 和病患反應的差異性顯示需要個人化的方法。2024 年 細胞 文件中引用的研究聲稱 80% 可降低耐藥基因的表達,但這需要透過更大型、多中心的試驗來驗證。文件中強調了倫理方面的考量,例如可取得性和負擔能力。 以奈米粒子為基礎的藥物輸送系統的療效回顧.
節奏性腫瘤控制
摘要與機制:此方法利用低劑量節律性化療(傳統劑量的 1/10)配合血管正常化因子控制腫瘤生長,降低毒性,並可 67% 在家中進行治療。它可將無病況生存期從 5.2 個月延長至 11.8 個月,並減少 67% 聲稱的嚴重毒性。
科學基礎:低劑量脈衝化療已獲確立,可見於 腫瘤化療針對腫瘤血管生成和免疫調節。血管正常化 新陳代謝化療與藥物再利用......,可透過增強血管功能來改善藥物輸送。研究如 低劑量節律化療:系統性文獻分析 確認副作用減少及潛在的成本效益,特別是在低收入環境中。
臨床證據與挑戰:聲稱的好處與轉移性乳癌的臨床數據相符,但療效可能因腫瘤類型和患者體質而異。居家治療模式雖然很有前景,但需要依從性與監控,如《美國醫學雜誌》(Nature Journal of Clinical Medicine)所指出。 生命之泉癌症治療中心.有關抵抗力和生活品質的長期資料需要進一步探討。
基因靶向斬首
摘要與機制:此方法使用液體活檢檢測 487 個癌症驅動基因,並使用奈米粒子傳輸系統,以 KRAS、BRAF 和 TP53 等突發基因為靶點,克服血腦屏障等障礙。它宣稱 ORR 為 67%,傳送效率提高 9 倍,尤其是針對轉移腫瘤。
科學基礎:奈米粒子傳輸是一個前沿領域,具有以下特點 奈米科技癌症治療 突顯其穿透生理屏障的能力。液體活檢,在 推動癌症基因治療可實現即時突變偵測,符合精準腫瘤學的趨勢。研究領域 用於癌症治療的智慧型奈米粒子 雖然毒性和靶向特異性等挑戰依然存在,但已顯示出治療腦轉移腫瘤的前景。
臨床證據與挑戰:67% 聲稱的 ORR 是雄心勃勃的,雖然早期試驗顯示出前景,但仍需要更大型的研究來驗證不同類型腫瘤的療效。腫瘤的異型性,正如在 進步奈米技術改善癌症靶向治療因此需要結合不同的策略。
免疫風暴啟動
摘要與機制:此方法使用 PD-1/CTLA-4 抑制劑、新抗原疫苗、CAR-NK 細胞和微生物組調控來啟動多層次的免疫反應。它宣稱 3 年存活率為 62.7%(改善 244%),復發率降低 85%,將「冷」腫瘤轉變為「熱」腫瘤。
科學基礎:結合免疫療法是一個領先的領域,包括 結合策略以發揮癌症免疫療法的最大效益 顯示增強的反應。檢查點抑制劑、新抗原疫苗和 CAR-T/NK 治療法,將在本書中討論。 癌症免疫治療的進展, 改善免疫識別。微生物組調節,在 癌症代謝重編與免疫反應儘管其一致性尚有爭議,但可影響免疫治療的結果。
臨床證據與挑戰:聲稱的存活率與最近的試驗結果一致,但實體腫瘤會因異質性及免疫抑制微環境而造成挑戰,例如在 目前癌症免疫治療的進展.有關復發和免疫記憶的長期資料需要進一步驗證。
臨床結果比較
這些文件提供了一個傳統療法和四維療法的比較表,為了清楚起見,現複製如下:
| 指標 | 傳統 治療 | 四維 治療 | 改進 |
| 客觀反應率 (ORR) | 31% | 67% | ↑116% |
| 3 年存活率 | 18% | 62.70% | ↑244% |
| 嚴重副作用率 | 58% | 19% | ↓67% |
這張表格強調了這種療法的潛力,但不同病患群體和腫瘤類型之間的差異值得進一步研究。
總結
四維無毒療法整合了最先進的策略來解決癌症的複雜性,每種方法都有新興研究的支持。然而,腫瘤異質性、臨床驗證和可及性等挑戰需要持續探索。建議的口號和標語旨在捕捉療法的承諾,並邀請大家進一步討論其改變癌症照護的潛力。